Cosa fare per ascesso dentale: sintomi, rimedi e trattamenti definitivi

Cosa fare per ascesso dentale: sintomi, rimedi e trattamenti definitivi

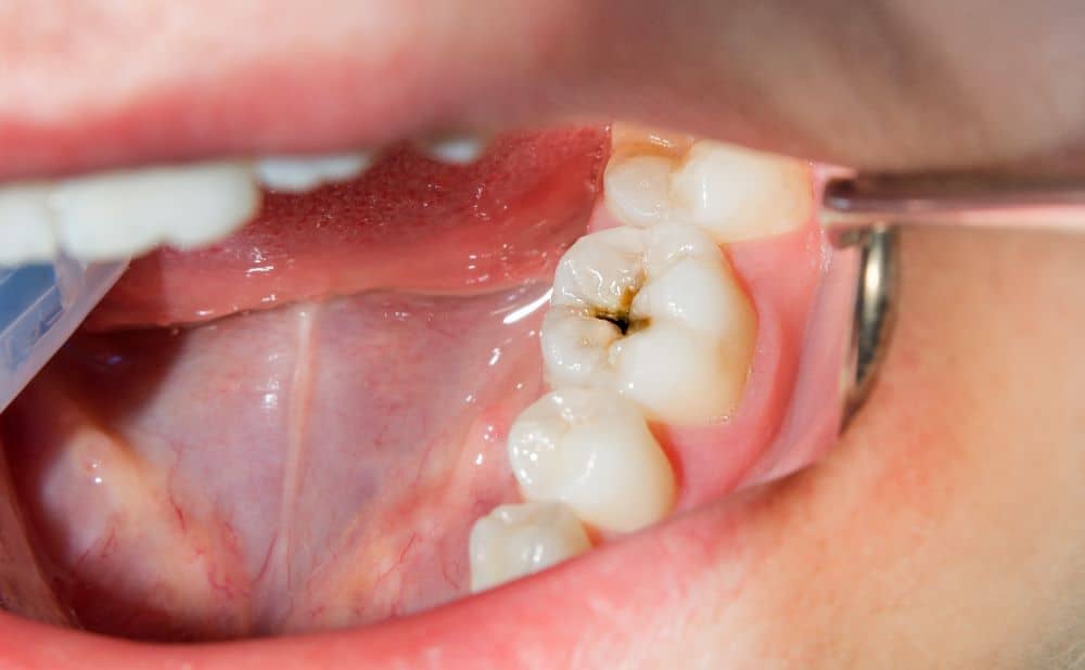
Un ascesso dentale non è un semplice fastidio, ma una vera e propria infezione che può avere conseguenze serie se trascurata. Si tratta di una raccolta di pus causata da batteri che si accumulano nei tessuti intorno al dente o nelle gengive.

Molti pazienti cercano online cosa fare per ascesso dentale, perché il dolore è spesso insopportabile e il gonfiore evidente. Tuttavia, non basta un rimedio casalingo: serve capire come agire subito per alleviare i sintomi e quali sono le cure professionali necessarie per risolvere definitivamente il problema.


Cos’è un ascesso dentale?

Un ascesso è un’infezione batterica che porta all’accumulo di pus. Si forma quando i batteri riescono a penetrare nei tessuti profondi del dente o delle gengive.

Tipologie di ascesso dentale

  • Ascesso periapicale: parte dalla polpa del dente (carie profonda, trauma, devitalizzazione mal eseguita).

  • Ascesso parodontale: si sviluppa nelle gengive e nei tessuti di supporto del dente.

  • Ascesso gengivale: più superficiale, interessa la gengiva vicino al dente.


Sintomi principali

Riconoscere i segni di un ascesso è fondamentale per agire tempestivamente:

  • Dolore pulsante, costante, che peggiora di notte.

  • Gonfiore della gengiva e talvolta della guancia.

  • Sensibilità ai cibi caldi o freddi.

  • Difficoltà a masticare e dolore alla pressione.

  • Alito cattivo o sapore amaro in bocca.

  • Gengiva arrossata e talvolta con “bolla” di pus visibile.

  • In casi gravi: febbre, linfonodi gonfi e malessere generale.


Cosa fare subito in caso di ascesso dentale

1. Contattare immediatamente un dentista

  • È la regola numero uno: l’ascesso non guarisce da solo.

  • Solo il dentista può eliminare l’infezione alla radice e impedire che si diffonda.

  • Rimandare la visita può trasformare un’infezione locale in un problema sistemico.


2. Prendere antidolorifici da banco

  • Farmaci come ibuprofene o paracetamolo aiutano a ridurre dolore e infiammazione.

  • Evitare l’uso fai-da-te di antibiotici: vanno assunti solo su prescrizione.


3. Fare risciacqui con acqua tiepida e sale

  • Sciogli mezzo cucchiaino di sale in un bicchiere d’acqua tiepida.

  • Effettua sciacqui più volte al giorno.

  • Aiuta a ridurre la carica batterica e il gonfiore gengivale.


4. Applicare ghiaccio esternamente

  • Impacchi freddi sulla guancia riducono gonfiore e dolore.

  • Evitare assolutamente calore diretto, che può peggiorare l’infezione.


5. Tenere la testa sollevata

  • Dormire con un cuscino in più può ridurre la pressione e quindi il dolore.


Cosa NON fare in caso di ascesso

  • Non schiacciare o bucare l’ascesso: il pus deve essere drenato dal dentista in modo sterile.

  • Non sospendere un antibiotico senza consulto medico.

  • Non trascurare i sintomi: un ascesso può peggiorare in pochi giorni.

  • Non affidarsi solo a rimedi naturali: possono alleviare, ma non risolvere l’infezione.


Trattamenti professionali per un ascesso dentale

Il dentista, dopo la visita, può scegliere diverse terapie:

1. Drenaggio dell’ascesso

  • Viene praticata una piccola incisione per far uscire il pus.

  • Riduce immediatamente dolore e pressione.

2. Terapia canalare (devitalizzazione)

  • Necessaria se l’infezione parte dalla polpa dentale.

  • Il dentista rimuove la polpa infetta, disinfetta i canali e sigilla il dente.

3. Estrazione del dente

  • Nei casi più gravi, se il dente è irrecuperabile.

4. Antibiotici

  • Prescritti quando l’infezione rischia di diffondersi.

  • Generalmente a base di amoxicillina o clindamicina (in caso di allergia).


Rimedi naturali di supporto

Pur non sostituendo la cura odontoiatrica, alcuni rimedi casalinghi possono dare sollievo temporaneo:

  • Infusi di camomilla o salvia come collutorio naturale antibatterico.

  • Olio essenziale di chiodi di garofano diluito, con proprietà analgesiche.

  • Acqua ossigenata diluita al 3% per risciacqui disinfettanti (usare con cautela).


Possibili complicazioni di un ascesso non curato

Trascurare un ascesso può portare a:

  • Perdita del dente interessato.

  • Diffusione dell’infezione ad altri denti e gengive.

  • Formazione di fistole gengivali (canalini che drenano pus).

  • Osteomielite (infezione dell’osso mascellare).

  • Nei casi più gravi: setticemia (infezione generalizzata).

Ecco perché è fondamentale non ignorare i sintomi e recarsi dal dentista al primo segnale.


Prevenzione degli ascessi dentali

  • Spazzolare i denti almeno 2 volte al giorno con dentifricio al fluoro.

  • Usare il filo interdentale quotidianamente.

  • Ridurre zuccheri e bevande gassate.

  • Fare una pulizia professionale ogni 6 mesi.

  • Curare subito carie e gengiviti prima che degenerino.


Domande frequenti su cosa fare per ascesso dentale

1. L’ascesso dentale può guarire da solo?
No, senza intervento odontoiatrico l’infezione non si risolve.

2. Quanto dura il dolore di un ascesso?
Il dolore può essere costante e peggiorare nel tempo fino al drenaggio o trattamento.

3. Gli antibiotici bastano a curare un ascesso?
Gli antibiotici aiutano a controllare l’infezione, ma da soli non risolvono la causa. Serve comunque un trattamento odontoiatrico.

4. Posso bucare l’ascesso a casa?
No, è pericoloso: aumenta il rischio di infezioni gravi.

5. Quanto costa curare un ascesso dentale?
Dipende dal trattamento: un drenaggio costa meno, mentre una devitalizzazione o estrazione hanno costi variabili da €150 a €400 in Italia. In Albania i prezzi sono più bassi, anche del 50–70%.


Conclusione

Sapere cosa fare per ascesso dentale significa agire in fretta: riconoscere i sintomi, alleviare temporaneamente il dolore con rimedi semplici e soprattutto rivolgersi subito al dentista.

Un ascesso non curato può trasformarsi in un problema grave, ma con un intervento tempestivo si può salvare il dente e preservare la salute generale.

Il consiglio finale è chiaro: non aspettare che passi da solo. Prendi appuntamento con il dentista, segui le indicazioni terapeutiche e affida la tua salute orale a mani esperte.

Iscriviti alla nostra newsletter

Chat with us