
- Mon-Fri 10:00-19:00
- Iljaz Reka, Durrës, Albania
- [email protected]
February 4, 2025
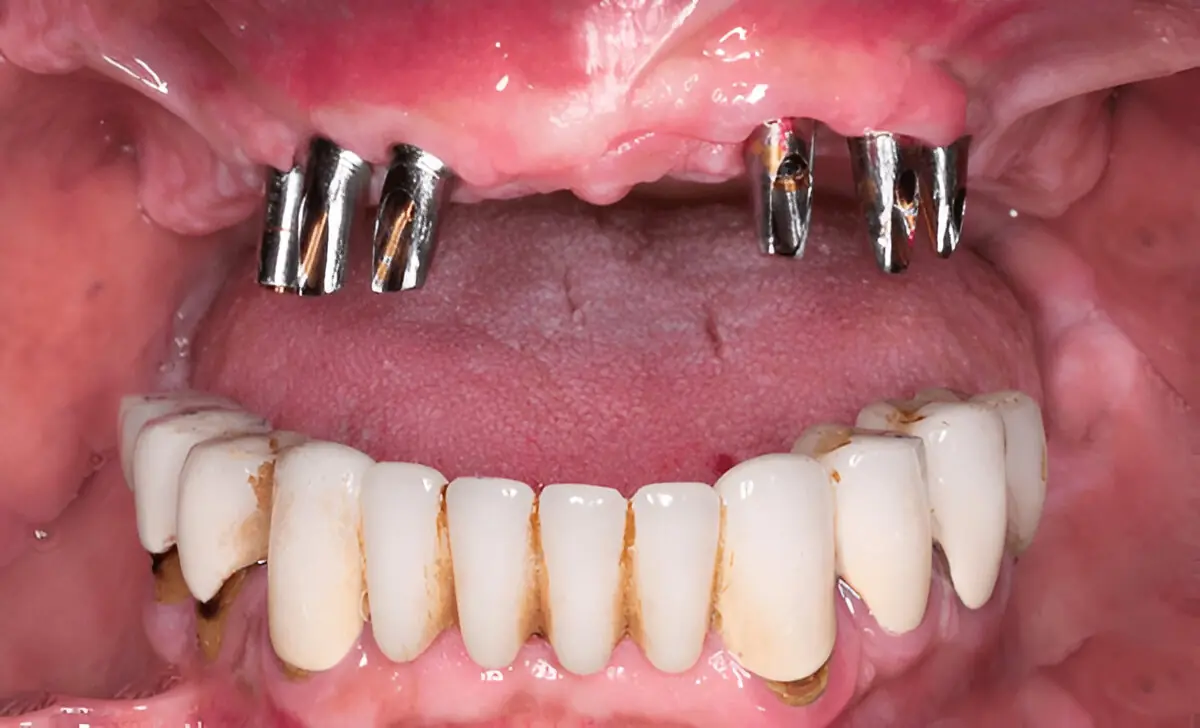
Albania is emerging as a premier destination for dental tourism. Many patients now seek the best all on 4 dental implants in Europe. This article explains why Albania stands out. It provides in-depth analysis, cites reputable dental journals, and includes expert opinions. Our aim is to help you understand Albania’s excellence in delivering full-mouth dental […]
February 4, 2025
Why Choose Full Mouth Dental Implants in Albania? If you’re considering full mouth dental implants, Albania is emerging as a top destination for high-quality, affordable dental care. Dental tourism in Albania allows patients to receive world-class treatment at a fraction of the cost compared to Western Europe and the US. With state-of-the-art clinics, experienced specialists, […]
February 3, 2025
When it comes to replacing missing teeth, two of the most common solutions are dental bridges and implants. Both options restore functionality and aesthetics, but they differ significantly in terms of cost, longevity, and procedure. Understanding the key differences between a dental bridge vs implant can help you make an informed decision about which treatment […]
January 31, 2025
Dental implants are a long-term solution for individuals suffering from missing or damaged teeth. In the UK, the cost of a full set of dental implants can be prohibitively expensive, making it inaccessible for many. However, Albania has emerged as a leading destination for high-quality and affordable dental implant procedures. This article explores the costs […]